Artrite reativa pós-COVID-19: relato de caso
Reactive arthritis after COVID-19: a case report
Marcelle Raschik Riche1; Henrique Maciel Vieira de Moraes2; Wanda Vianna Mury1
1. Universidade do Grande Rio Professor José Herdy (UNIGRANRIO) - Rio de Janeiro, RJ, Brasil
2. Universidade Federal do Rio de Janeiro (UFRJ) - Rio de Janeiro, RJ, Brasil
Endereço para correspondência:
Marcelle Raschik Riche
E-mail: marcelleriche@hotmail.com
Submetido em: 11/10/2022
Aceito em: 09/01/2023
Não foram declarados conflitos de interesse associados à publicação deste artigo
RESUMO
As complicações associadas à COVID-19 incluem insuficiência renal, miocardite, eventos trombóticos e retinite. No entanto, outras manifestações, como a artrite reativa, também parecem estar atreladas a este vírus e precisam ser mais bem investigadas. O caso relatado se refere a uma paciente de 32 anos, do sexo feminino, na cidade do Rio de Janeiro (RJ), que desenvolveu um quadro de artrite reativa após 5 dias da manifestação de sintomas gripais. Foram realizados exames laboratoriais, GeneXpert para COVID-19 e punção do líquido sinovial. Observou-se GeneXpert positivo para COVID-19, aumento nos marcadores inflamatórios, marcadores sorológicos de autoimunidade não reagentes e cultura negativa no líquido sinovial. Esses resultados descartam artrite séptica, bem como artrite reumatoide, passando a ser considerado o quadro de artrite pós-infecciosa decorrente do SARS-CoV-2.
Descritores: Artrite reativa, COVID-19, autoimunidade.
Introdução
O novo coronavírus, denominado SARS-CoV-2, responsável pela doença COVID-19, foi detectado pela primeira vez em 31 de dezembro de 2019 na província de Hubei, na China. Em 30 de janeiro de 2020, a OMS declarou a epidemia uma emergência internacional. Desde então, diversos estudos vêm sendo conduzidos a fim de esclarecer a influência deste novo vírus no sistema imune do hospedeiro1.
O sistema imunológico atua na defesa do organismo contra agentes infecciosos. Tal função é mediada por mecanismos de imunidade inata e de imunidade adaptativa, que são fundamentais na resposta aos microrganismos causadores de doenças. Na COVID-19, a evolução benigna e autolimitada da doença depende de uma resposta imune eficiente e equilibrada. Porém, em certos casos, uma resposta imune exacerbada ao SARS-CoV-2 é capaz de gerar formas mais graves da patologia2‑4.
As complicações reconhecidamente associadas à COVID-19 incluem insuficiência renal, miocardite, eventos trombóticos e retinite5. Em razão do recente aparecimento da doença, o quadro de sequelas pós-COVID-19 ainda não está bem esclarecido. Nesse contexto, este trabalho trata de um caso de artrite reativa pós-COVID-19.
Relato do caso
Paciente do sexo feminino, com 32 anos de idade, iniciou em 08/06/2022 um quadro de faringite e tosse. Após cinco dias, além dos referidos sintomas gripais, apresentou febre (37,8 ºC), pressão arterial de 140/90 mmHg, sinais flogísticos no joelho direito e ombro direito. Por tal motivo, deu entrada no pronto-socorro em 11/06/2022.
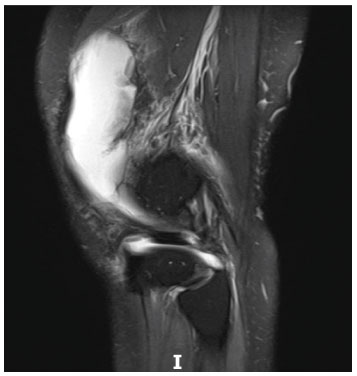
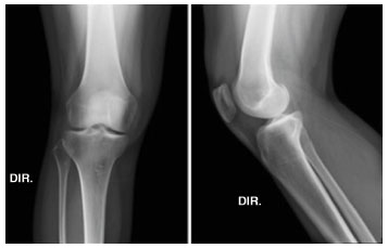
Foi submetida a exames laboratoriais, radiografia do joelho direito e ressonância nuclear magnética (RNM) no joelho e ombro direito. A radiografia apontou apagamento do coxim gorduroso suprapatelar, sugerindo reação sinovial (Figura 1). A RNM do joelho apontou acentuado derrame articular, pelo que, foi realizada punção do líquido articular (Figura 2). A análise do líquido apresentou 2.240 leucócitos por mm3, com 1.366 polimorfonucleares por mm3. As culturas e a bacterioscopia foram negativas. A RNM do ombro apontou derrame articular acromioclavicular e glenoumeral.


Durante a internação foi submetida à GeneXpert para COVID-19, com resultado positivo. Submetida, ainda, ao ecocardiograma transtorácico, que apontou ausência de vegetações. A paciente testou negativo para fator reumatoide (FR), antiestreptolisina O (ASLO), autoanticorpos anticélula (FAN), anticorpo anti-CCP (anti-peptídeo cíclico citrulinado anti-ccp), VDRL, sorologia para HIV, anti-HCV, HbsAg, Anti-HAV. Em relação aos marcadores inflamatórios a paciente apresentou aumento de PCR (8,2 mg/dL) e de VHS (41 mm). Ainda sobre os exames laboratoriais, observou-se leucocitose (10.390/µL) com neutrofilia (7.865/µL). Já os linfócitos e basófilos estavam em níveis normais (1.870/µL e 0/µL, respectivamente). A série vermelha não apresentou alterações.
O quadro melhorou acentuadamente após cinco dias de tratamento com anti-inflamatório não esteroidal, repouso e compressas geladas. Dessa forma, a condição se mostrou compatível com artrite reativa pós-viral.
Discussão
A artrite séptica é uma infecção do líquido sinovial causada por bactérias piogênicas6. Sendo assim, o microrganismo invade diretamente a articulação e pode ser identificado por meio de punção do líquido articular. No caso em análise, as culturas do líquido articular foram negativas para bactérias e fungos. Os exames laboratoriais para rastreio de sífilis, HIV e hepatite foram negativos, descartando a possibilidade de infecção sexualmente transmissível. Nesse contexto, considerando que a paciente respondeu ao tratamento conservador, foi afastada a possibilidade de artrite séptica.
A artrite reumatoide (AR) é outra causa conhecida de acometimento inflamatório das articulações, porém, vários aspectos tornaram esse diagnóstico menos provável. A paciente não tinha história pregressa de edema nas articulações e os testes sorológicos para FR e anti-CCP foram ambos negativos. Ainda, na AR, as articulações mais frequentemente afetadas são as sinoviais periféricas, como metacarpo e metatarsofalangianas, tornozelos e punhos7, o que não se verificou no caso em análise.
Outro diagnóstico considerado foi o de febre reumática. Nesta patologia, a artrite é uma manifestação comum que classicamente evolui de forma assimétrica e migratória8. No entanto, a paciente apresentou resultado negativo no exame laboratorial antiestreptolisina O (ASLO), e o ecocardiograma transtorácico apontou ausência de vegetações, de modo que a hipótese foi afastada.
A artrite pós-infecciosa ou artrite reativa pode ser definida como artrite estéril após quadro infeccioso9. Nesse contexto, a resposta imune exacerbada do hospedeiro parece estar envolvida na fisiopatologia da doença10. Alguns estudos, ainda que poucos, investigaram o papel do SARS-CoV-2 em manifestações de artrite aguda e crônica e corroboram o presente trabalho, uma vez que sugerem similaridades entre o mecanismo imunológico responsável pelo início da artrite relacionada ao COVID-19 e o mecanismo patogênico da artrite reativa11‑13.
No presente caso, o diagnóstico de artrite reativa após a infecção por COVID-19 passou a ser considerado. A artrite reativa é tipicamente descrita como envolvimento monoarticular ou oligoarticular de grandes articulações dos membros inferiores após infecções urogenitais ou gastrointestinais14. Porém, ela também pode ocorrer de forma atípica em outras infecções15. No caso em análise, as características das articulações acometidas atenderam aos critérios diagnósticos de artrite reativa. Vale destacar que aproximadamente 50% desses pacientes podem, ainda, apresentar artrite em membro superior, quadro também apresentado pela paciente em questão16. Além disso, a paciente apresentou leucocitose, neutrofilia, aumento da PCR, bacterioscopia e a cultura do líquido sinovial negativas, fatores que também corroboram o diagnóstico de artrite pós-infecciosa.
O tratamento para artrite reativa foi iniciado desde o primeiro dia de internação, por meio do uso de anti-inflamatório não esteroide (AINE) cetoprofeno 50 mg por via oral duas vezes ao dia. A paciente apresentou melhora clínica e, após 5 dias, recuperou-se e voltou a andar, recebendo alta hospitalar, com orientação de realizar sessões de fisioterapia. Um mês após a alta, a paciente foi avaliada ambulatorialmente apresentando total recuperação da mobilidade articular.
Diante do limitado acervo literário sobre o tema e considerando o quadro clínico da paciente, o teste molecular positivo para COVID-19, as culturas de líquido sinovial negativas para bactérias e fungos, os resultados negativos sorológicos para marcadores de autoimunidade e a ausência de outras alternativas mais plausíveis, a artrite reativa após infecção viral por SARS-CoV-2 foi considerada como diagnóstico de exclusão.
Referências
1. World Health Organization. COVID-19 Public Health Emergency of International Concern (PHEIC). Global research and innovation forum [Internet]. February 2020. Disponível em: https://www.who.int/publications/m/item/covid-19-public-health-emergency-of-international-concern-(pheic)-global-research-and-innovation-forum.
2. Wu C, Chen X, Cai Y, Xia J, Zhou X, Xu S, et al. Risk Factors Associated With Acute Respiratory Distress Syndrome and Death in Patients With Coronavirus Disease 2019 Pneumonia in Wuhan, China. JAMA Intern Med. 2020 Jul 1;180(7):934.
3. Panda SK, Colonna M. Innate Lymphoid Cells in Mucosal Immunity. Front Immunol. 2019 May 7;10:861.
4. Mehta P, McAuley DF, Brown M, Sanchez E, Tattersall RS, Manson JJ. COVID-19: consider cytokine storm syndromes and immunosuppression. The Lancet. 2020 Mar;395(10229):1033‑4.
5. Avelar FG de, Emmerick ICM, Muzy J, Campos MR. Complications of Covid-19: developments for the Unified Health System. Physis: Revista de Saúde Coletiva. 2021;31(1).
6. Kotzias Neto A, Oliveira MA, Stipp WN. Avaliação do tratamento da artrite séptica do quadril. Rev Bras Ortop (São Paulo). 2011;46:14‑20.
7. Goeldner I, Skare TL, Reason ITM, Utiyama SR R. Artrite reumatoide: uma visão atual. J Bras Patol Med Lab. 2011 Oct;47(5):495‑503.
8. Barbosa PJB, Müller RE, Latado AL, Achutti AC, Ramos AIO, Weksler C, et al. Diretrizes Brasileiras para Diagnóstico, Tratamento e Prevenção da Febre Reumática da Sociedade Brasileira de Cardiologia, da Sociedade Brasileira de Pediatria e da Sociedade Brasileira de Reumatologia. Arq Bras Cardiol. 2009;93(3 supl.4):1‑18.
9. Rose CD, Eppes SC. Infection-related arthritis. Rheumatic Disease Clinics of North America. 1997 Aug;23(3):677‑95.
10. Mathew AJ, Ravindran V. Infections and arthritis. Best Pract Res Clin Rheumatol. 2014 Dec;28(6):935‑59.
11. Kocyigit BF, Akyol A. Reactive arthritis after COVID-19: a case-based review. Rheumatol Int. 2021 Nov 22;41(11):2031-9.
12. Gasparotto M, Framba V, Piovella C, Doria A, Iaccarino L. Post-COVID-19 arthritis: a case report and literature review. Clin Rheumatol. 2021 Aug 15;40(8):3357‑62.
13. Ono K, Kishimoto M, Shimasaki T, Uchida H, Kurai D, Deshpande GA, et al. Reactive arthritis after COVID-19 infection. RMD Open. 2020 Aug 6;6(2):e001350.
14. Houshmand H, Abounoori M, Ghaemi R, Bayat S, Houshmand G. Ten-year-old boy with atypical COVID-19 symptom presentation: A case report. Clin Case Rep. 2021 Jan 16;9(1):304-8.
15. Ruiz-Del-Valle V, Sarabia de Ardanaz L, Navidad-Fuentes M, Martín-Martín I, Lobato-Cano R. Reactive arthritis with SARS-COV-2 as a trigger. Reumatol Clin (Engl Ed). 2022;18(8):490-2.
16. Hochberg M, Silman A, Smolen JS, Weinblatt ME, Weisman M. Reumatologia. 6ª ed. Elsevier; 2016; p. 1800.